No hay nada en el carrito
Cuando la precisión se encuentra con la innovación, nace AIDIA NEX
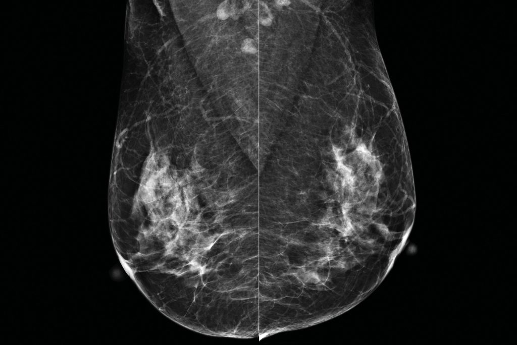
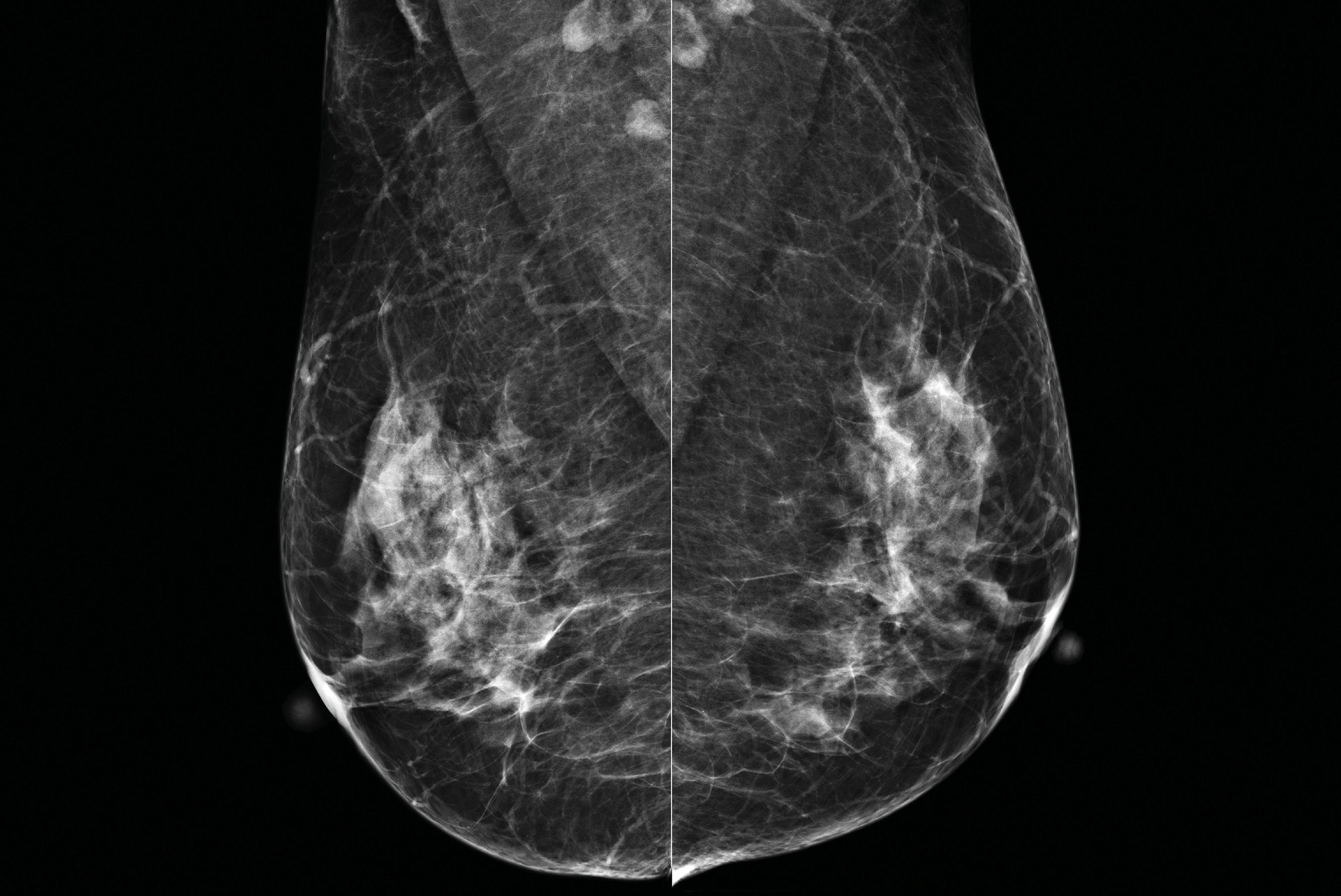
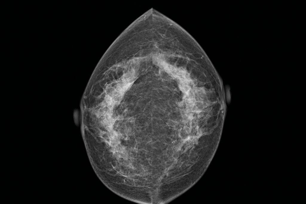
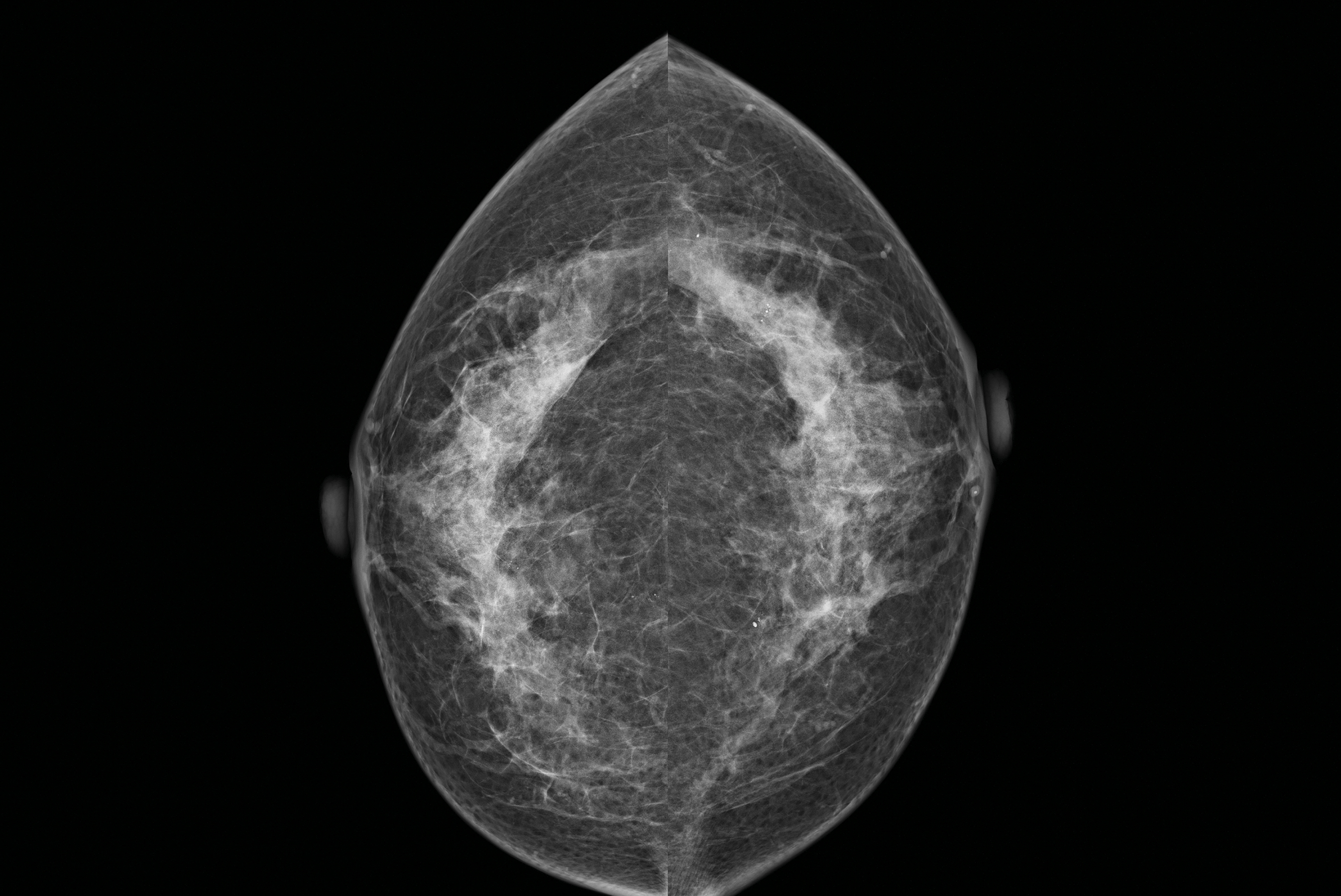
Imagina un mamógrafo que no solo captura imágenes, sino que transforma cada estudio en una experiencia excepcional. Con su avanzada tecnología de píxel ultra fino de 76μm y el revolucionario FOCUS CsI (Yoduro de Cesio Óptico Fluorescente), AIDIA NEX eleva la resolución de imagen a niveles extraordinarios, manteniendo una eficiencia de dosis cuántica (DQE) superior incluso en dosis mínimas.
Tecnología que marca la diferencia:
- Tubos de rayos X premium de Tungsteno (W): potencia de clase mundial para resultados diagnósticos superiores
- Flujo de trabajo inteligente: menos pasos, más eficiencia, cero interrupciones.

Valoraciones
No hay valoraciones aún.